Ce n’est jamais de gaieté de cœur que vous allez au centre dentaire lyon. Et pour cause, même si vous ne souffrez pas d’odontophobie, vous n’êtes quand même pas très à l’aise sur le fauteuil de votre dentiste. Les spécialistes vous diront qu’il est conseillé d’aller chez le dentiste au moins une fois par an. Même quand tout va bien, même si vous n’avez pas mal. Il serait alors possible à votre dentiste de faire de la prévention, de découvrir un souci naissant et d’y remédier au plus vite. Vous évitant ainsi des soins longs, douloureux et coûteux !

Et oui, vous en êtes souvent de votre poche chez le dentiste. Toutefois, il ne commencera jamais de soins avant de vous avoir remis un devis. Devis que vous transmettez à votre complémentaire de santé pour savoir exactement à combien s’élèvera le remboursement.
Pourquoi vous rendre au centre dentaire à Lyon?
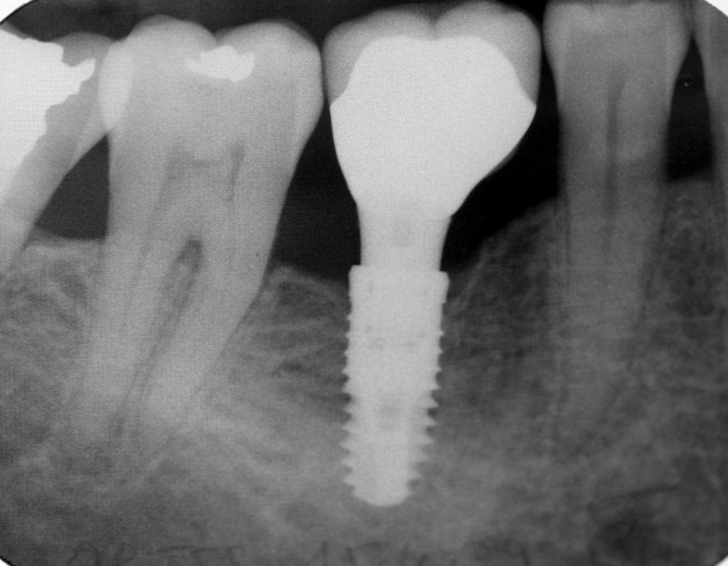
Dans la réalité, la réalité, vous consultez généralement quand vous avez vraiment trop mal, quand la douleur devient insupportable. Et le plus souvent, votre dentiste n’aura pas d’autre choix que de vous arracher cette vilaine dent. Certes, vous serez soulagé mais ce n’est pas pour autant que vous en aurez fini avec les soins dentaires !
Si vous ne faites rien les dents voisines voudront bouger pour combler le vide laissé par la dent extraite. C’est alors qu’il faudra poser un implant dentaire pour retrouver :
- une fonction de mastication
- un confort au quotidien
- une esthétique dentaire.
