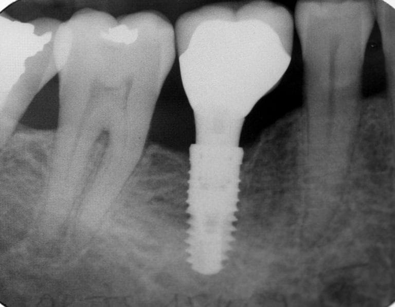
Implant dentaire Lyon : quels sont les composants le constituant ?
Les implants dentaires sont considérés comme des organes dentaires artificiels qui aident à surmonter de manière durable certains problèmes de dentition. En effet, il y a beaucoup de personnes qui souffrent de l’absence d’une ou plusieurs dents en raison de la fragilité de leur dentition naturelle. C’est pourquoi, ces dernières années les chirurgiens dentaires conseillent…














